试题详情
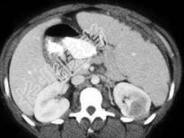
- 单项选择题患者有镰刀形红细胞特征,结合图像, 最可能的诊断为 ( )

A、脾梗死
B、脾脓肿
C、脾出血
D、脾隔离症
E、以上都不是
关注下方微信公众号,搜题查看答案

热门试题
- 男,61岁, 进行性吞咽困难40天,体重
- 有关肝脏病变的MRI信号强度等级的解释哪
- 关于脾囊肿的CT表现中哪项是错误的
- 1、该患者应首先考虑2、上消化道钡餐检查
- 食管静脉曲张不累及下列哪条静脉A、胃冠状
- 下列哪一项不符合胆管结石的CT表现A、胆
- 患者中年,结合图像, 最不可能的诊断为
- “中晚期胃癌”分型中,不包括哪型 (
- 胆管细胞癌的影像特点不包括( )。A
- 属于功能性胰岛细胞肿瘤的有哪些 (
- 钡餐造影片上,胃底大,呈囊袋状向后倾,胃
- 男,38岁。CT增强扫描示肝脏体积缩小,
- 胃肠道穿孔的X线表现描述不正确的是A、膈
- 先天性巨结肠钡灌肠检查,下列正确的是A、
- 下列哪种疾病不宜行钡剂灌肠 (
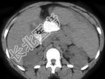
- 结合图像,最可能的诊断是 ( )
- 下列原发性肝癌的MRI征象,哪项最常见
- 原发性肝癌肝外血行转移最常见的部位是A、
- 肝门区胆管癌最常见的MRI表现为A、肝门
- 根据所提供的图像,最可能的诊断是 (