试题详情
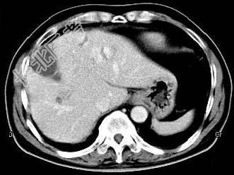
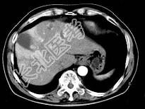
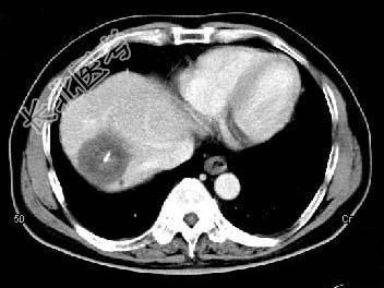
- 单项选择题根据所提供的图像,最可能的诊断是 ( )

A、肝内多发血管瘤
B、肝多发血管瘤并肝癌
C、多发肝囊肿
D、胆管细胞癌
E、以上都不是
关注下方微信公众号,搜题查看答案

热门试题
- 患者,男性, 48岁。腹痛1个月余伴黄疸
- 3岁男孩突发性腹痛,大便有血, 腹部可触
- 患者15岁,男性, 高血压,行CT检查,
- 下述“少年结肠息肉”特点,错误的是
- 肝脏最常见的恶性间叶组织肿瘤为( )
- 微小肝癌的定义是A、直径小于或等于1cm
- PTCD术的并发症是 ( )A、
- 图示为正常胃的分型,结合图像, 最可能的
- 我国肝癌病理协作组制定小肝癌的诊断标准中
- 在婴儿腹部立位片上见不到“双泡征”的疾病
- 脾梗死早期CT可表现为 ( )A
- 中晚期食管癌表现不正确的是A、黏膜皱襞消
- 男性,35岁。有乙肝病史多年, AFP阳
- 男,50岁, 进食梗阻1年,结合图像,
- 患者40岁,女性, 最近有卵巢癌放疗治疗
- 正常腹部平片上哪些脏器不能显示A、肝脏B
- 皮革胃的X线表现正确的是A、胃黏膜皱襞加
- 引起胃扭转的病理学因素为 ( )
- 关于肝脏淋巴瘤,说法错误的是A、合并免疫
- 1、该患者可能诊断为2、入院后影像学检查