试题详情
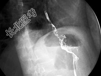
- 单项选择题男,50岁, 进食梗阻1年,结合图像, 最可能的诊断为 ( )

A、食管下段癌
B、贲门癌
C、食管静脉曲张
D、贲门失弛缓
E、胃底癌
关注下方微信公众号,搜题查看答案

热门试题
- 关于肝癌CT平扫表现,描述错误的是A、大
- 下列不是慢性胃溃疡恶变的征象的是A、龛影
- 良好充盈CT像上,正常消化道壁解剖, 下
- 有关结肠息肉错误的是( )。A、从组
- 有关肝脏病变的MRI信号强度等级的解释哪
- 动态增强扫描加延迟扫描最主要用于以下哪一
- 肝血色素沉着病的CT值为 ( )
- 梗阻上端有鸟嘴状狭窄,狭窄处粘膜呈回旋状
- 关于肝结核的影像学表现,叙述错误的是(
- 下列哪种疾病"充盈缺损"表现不明显A、增
- 以下有关胃溃疡的叙述,正确的是( )
- 肝脏血液循环的特点,以下观点哪项是对的
- 如图所示,该病例的鉴别诊断包括 (
- 肝右前叶病灶,结合图像, 最可能的诊断是
- 下述小儿“肠套叠”临床特点,错误的是
- 急性单纯性胰腺炎的CT表现有 (
- 根据所提供的图像,该病灶最好的分期为
- 肝尾叶的静脉引流入下列哪条静脉A、肝中静
- 下列不属于脾脏恶性肿瘤的是( )A、
- SE序列各加权像,多呈等信号的病变是