试题详情
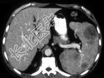
- 单项选择题患者中年,结合图像, 最不可能的诊断为 ( )

A、Gauchers 病(家族性脾性贫血)
B、淋巴瘤
C、转移性黑色素瘤
D、镰刀形红细胞病
E、以上都不是
关注下方微信公众号,搜题查看答案

热门试题
- 关于肝脏恶性间叶瘤,叙述正确的是(
- 不属于胆管癌胆道造影的表现是A、胆管龛影
- 下列关于使用棉絮钡餐诊断食道异物不正确的
- 有关肝多房棘球蚴病的描述,错误的是
- 下列不是良性胃溃疡的X线征象的是A、项圈
- 根据所提供的图像,最可能的诊断是 (
- 肝岛CT表现 ( )A、胆囊床
- 临床诊断脂肪肝,影像科检查首选检查是哪个
- 下述钡餐造影征象中,哪项与"胰头癌"无关
- 男性,35岁。有乙肝病史多年, AFP阳
- 下列“原发性肝癌”MRI表现,错误的是
- 克罗恩(Crohn)病有哪些并发症
- 下列哪项可作为多发肝囊肿与Caroli病
- 恶性胃溃疡具有的征象是 ( )
- 女,54岁, 直肠癌放疗后1月,阵发性腹
- 下列哪项不是良性溃疡的X线征象 (
- 脾功能亢进介入治疗的适应证是 (
- 男,15岁, 下腹疼痛不适,结合图像,
- 肝局灶性结节增生中心纤维瘢痕含有的成分是
- 女,49岁, 脐周疼痛近1个月,大便有时