试题详情
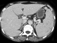
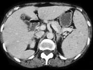
- 单项选择题骨髓移植患者发热,结合图像, 最可能的诊断为 ( )

A、脾念珠菌病
B、脾囊肿
C、肿瘤浸润脾
D、淋巴瘤
E、以上都不是
关注下方微信公众号,搜题查看答案

热门试题
- 下列哪项不是纵轴型胃扭转的X线表现
- 下列不是肝棘球蚴病的CT表现的是A、囊肿
- 不属于结肠息肉恶变的标志有A、息肉表面毛
- 关于脾转移癌的说法,错误的是 (
- 患者,女, 65岁。上腹部隐痛不适伴进行
- 下列关于急性胆囊炎的特有CT表现,错误的
- 根据所提供的图像,最可能的诊断为 (
- 患者50岁,右上腹痛, 结合图像,最可能
- 下列原发性肝癌的MRI征象,哪项最常见
- 功能性胰岛细胞瘤分泌不同性质的激素,最多
- 有关局灶性肝脂肪浸润,以下哪些是正确的
- 典型肝硬化的CT表现A、脾大,脾、胃底静
- 关于肝包虫病的描述,错误的是A、由棘球绦
- 关于肝门部结构的描述,哪项不正确 (
- 关于淋巴结转移癌,下列描述不正确的是A、
- 1、首选的检查方法为( )。A、CT
- 胃癌的X线造影征象有 ( )A
- 女,35岁, 十二指肠球部溃疡病史4年,
- 小肠Crohn病的X线征象包括 (
- 男,61岁, 进行性吞咽困难40天,体重