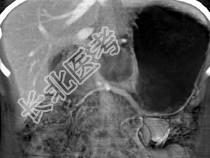
试题详情
- 单项选择题患者16岁,女性, 最可能的诊断是 ( )

A、胰腺腺癌
B、Hamoudi瘤
C、假性囊肿
D、胰腺胚细胞瘤
E、以上都不是
关注下方微信公众号,搜题查看答案

热门试题
- 关于脾恶性淋巴瘤的CT表现,正确的是A、
- 功能性胰岛细胞瘤分泌不同性质的激素,最多
- 男,44岁, 突然中上腹痛,压痛, 反跳
- 大多数结肠癌的病理类型是 ( )
- 患者中年,结合图像, 最不可能的诊断为
- 关于正常肝脏的MRI表现,错误的是A、T
- 双重造影诊断慢性胃炎的标准是A、黏膜纹粗
- 腹膜后腔的前后界限是A、前界为肾前筋膜,
- 梗阻性黄疸可见于( )A、胆总管结石
- 临床有“低蛋白血症”,则可除外哪种疾病
- 下述“溃疡性结肠炎”早期征象,错误的是
- 有关肝硬化的CT表现,正确的是A、肝左叶
- 下列关于“食管憩室”的描述错误的是
- 胃溃疡的直接征象是A、痉挛性切迹B、潴留
- 下列不是良性胃溃疡的X线征象的是A、项圈
- 根据所提供的图像,最可能的诊断是 (
- 女,5岁, 食欲差伴消瘦4年。如图所示,
- 男、52岁,1小时前车祸, 伤及左季肋区
- 外伤患者,如图所示, 最可能的诊断为
- 布-加综合征介入治疗的并发症不包括A、心