试题详情
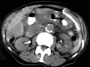
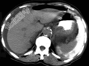
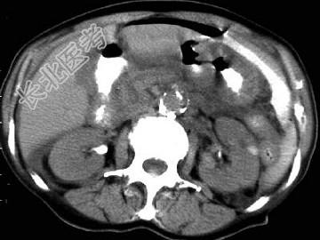
- 单项选择题男,44岁, 突然中上腹痛,压痛, 反跳痛,腹肌紧张, 发热,白细胞计数升高, CT检查如图,最可能的诊断是 ( )

A、急性胰腺炎
B、慢性胰腺炎
C、胃小弯溃疡穿孔
D、胰腺癌
E、胃癌
关注下方微信公众号,搜题查看答案

热门试题
- 肝脓肿与肝癌都表现为环形强化时的鉴别点是
- 皮革胃的X线表现正确的是A、胃黏膜皱襞加
- 肠腔扩张的标准是A、小肠≥3cm,左半结
- 大肠全长约为 ( )A、5~6m
- 胰腺癌的好发部位最 ( )A、胰
- 根据肝包虫囊肿的CT表现和特征可分为四型
- 患者体重减轻,结合图像, 最可能的诊断为
- 根据所提供的图像,最可能的诊断是 (
- 中年女性,右上腹隐痛半年, 伴黄疸2月。
- 弥漫性胆囊壁增厚的鉴别诊断可从以下哪些方
- 男,15岁, 下腹疼痛不适,结合图像,
- 患者40岁,女性, 最近有卵巢癌放疗治疗
- 关于肠套叠的叙述,错误的是A、近段肠管套
- 男,12岁, 上腹痛1周,无规律, 无黑
- 1、患者首选影像检查方法为2、若患者影像
- 脾功能亢进介入治疗的适应证是 (
- 横断面CT扫描,正常成人肝脏上下径为
- 55岁女性,B超发现, 肝右叶内4cm强
- 男,54岁, 外伤后十余天,左季肋区疼痛
- 男,55岁, 上腹饱胀不适2月,结合图像