试题详情
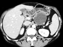
- 单项选择题如图所示,该病的鉴别诊断包括以下所有的, 除哪项以外 ( )


A、腺癌
B、Hamoudi瘤
C、囊腺瘤
D、胰腺导管内乳头状黏液性肿瘤
E、胰癌
关注下方微信公众号,搜题查看答案

热门试题
- 1、根据以上影像学表现,以下最需要鉴别诊
- 肝外伤肝动脉栓塞的适应证有 (
- 女,45岁, 咽喉不适,异物感。体检:
- 下列哪项征象不是转移性肝癌的特征A、环靶
- MRCP显示的"双管征"最常发生于A、胰
- 患者肝移植术后1月,结合图像, 最可能的
- 关于胆囊癌,错误的是A、老年人多见B、女
- 典型肝脓肿壁出现三层环状结构,腔内可有分
- ERCP的正确说法是A、经皮肝穿胆道造影
- 胆管囊状扩张分为5种类型,其中Ⅰ型为
- 病理学上食管癌其大体形态分类不包括A、髓
- 原发性肝癌定位诊断下列哪项最准确A、X线
- 经动脉导管化疗药物灌注术治疗胰腺癌,能明
- 女,68岁, 发现高血压病30年,有痔疮
- 关于脾血管瘤,正确的说法是( )A、
- 结合图像,最可能的诊断是 ( )
- CT检查可表现为囊实性病变的是( )
- 男,37岁, 行胃癌根治术后1月余,反复
- 根据所提供的图像,该病例最可能的诊断为
- “不定形”征见于 ( )A、肝脏