试题详情
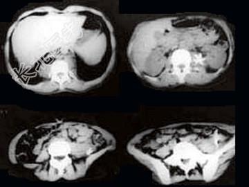
- 单项选择题女,34岁, 咳嗽,腰背疼痛二年, CT检查如图,最可能的诊断是 ( )

A、结核性脓肿
B、囊肿
C、淋巴管瘤
D、卵巢囊肿
E、卵巢囊腺瘤
关注下方微信公众号,搜题查看答案

热门试题
- 腹膜后纤维化可伴有A、眼眶内假瘤B、硬化
- 以下哪项不属于胰腺内分泌肿瘤的典型症状(
- 根据所提供的图像,最可能的诊断是 (
- 关于结肠癌的描述不确切的是 (
- 关于肝门部结构的描述,哪项不正确 (
- 根据所提供的图像,该病例最可能的诊断为
- 1、该患者应首选下列哪项检查( )A
- 根据所提供的图像,最可能的诊断为 (
- 下列疾病中,不引起食管位置或形态改变的是
- 脾功能亢进介入治疗的适应证是 (
- 女性,50岁, 因右上腹痛2个月入院。腹
- 根据所提供的图像,最可能的诊断是 (
- 不符合弥漫性脂肪肝中残留正常肝岛的CT表
- 下列关于肝腺瘤,说法不正确的是A、肿瘤通
- 关于胆管细胞癌的说法,正确的是A、起源于
- 1、依据上述临床表现,你认为患者可能患哪
- 先天性巨结肠钡灌肠检查,下列正确的是A、
- 慢性十二指肠球部溃疡最常见的X线征象是A
- 下列酒精性肝病CT特点,哪项不对 (
- 肝脓肿X线平片检查主要的征象为A、肝区含