试题详情
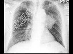
- 单项选择题男,57岁, 胸痛数月,近2天痰中带血, X线检查如图,最可能的诊断是 ( )

A、左肺不张
B、左肺炎症
C、左肺肿块
D、左肺门淋巴结肿大
E、正常心、肺、膈
关注下方微信公众号,搜题查看答案

热门试题
- 下列关于恶性胸膜间皮瘤的说法,正确的是A
- 中央型肺癌的间接X线征象是A、肺门区肿块
- 男,35岁, 因车祸入院,呼吸困难、发绀
- 男,71岁, 消瘦、咳嗽、胸痛,结合胸片
- 胸片上,肺内孤立性结节见于 (
- 横膈的形态改变的X线表现描述错误的是A、
- 下列哪项是诊断肺癌敏感性最高的检查方法
- 女,1岁半, 发热伴咳嗽5天,如图所示,
- 对下列疾病采取的介入治疗方法,正确的是A
- 肺叶不张的CT表现,错误的是 (
- 在早期周围型肺癌中,"小泡征"常见于A、
- 对于肺纹理的叙述正确的是A、肺纹理呈树枝
- 男,38岁, 感胸闷气逼2周余,近来加剧
- 患者,男, 45岁。体检发现左肺下叶有一
- 1、对病灶的正确描述是( )A、可见
- 关于支气管动脉栓塞治疗大咯血的适应证,下
- 关于肺气肿X线平片的表现,说法不正确的是
- 关于正位片上肺野X线分区哪项不对A、以二
- 关于乳房MRI成像技术,正确的有(
- 关于肺韦格肉芽肿的描述,不正确的是