试题详情
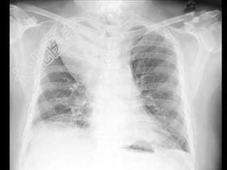
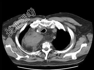
- 单项选择题男,71岁, 消瘦、咳嗽、胸痛,结合胸片和CT, 最可能的诊断是 ( )

A、脂肪肉瘤
B、心包脂肪垫
C、脂肪蓄积症
D、胸腺脂肪瘤
E、胸腺囊肿
关注下方微信公众号,搜题查看答案

热门试题
- 肺结核空洞一般可为A、薄壁空洞B、厚壁空
- 肺转移瘤最常见的表现形式是 (
- 下列肺部炎症中哪项不易见到胸膜反应
- 创伤性心包出血 ( )A、X线胸
- 患者,男,28岁。咳嗽、咳痰、咯血、胸痛
- 胸部最基本的扫描平面为A、斜冠状位B、斜
- 下述哪项适合支气管动脉造影检查A、支气管
- 以下哪项是纵隔神经源性肿瘤的CT特征A、
- 肺部蜂窝状改变见于A、肺水肿B、支原体肺
- 患儿,2岁,肺部炎症早期出现胸腔积液或液
- 男,48岁, 常感胸闷气逼,近1月渐加重
- 女,45岁, 抑郁嗜睡1月,实验室检查血
- 老年男性,刺激性干咳2月余, 多次痰查癌
- 肺癌放射治疗时,肺纤维化一般在放疗后__
- 1、本例最可能的诊断为2、下列哪项检查可
- 下列征象不是肺肿瘤与纵隔肿瘤的鉴别要点的
- 类癌的类型中不包括 ( )A、典
- 男,18岁, 咳嗽头晕1月,结合胸片和C
- 以下哪项不是侵袭性胸腺瘤的CT表现A、肿
- 下列疾病能在胸片上看到“空气支气管征”的