试题详情
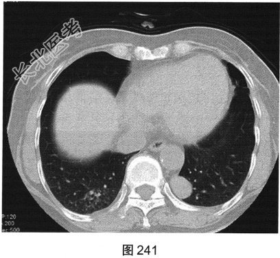
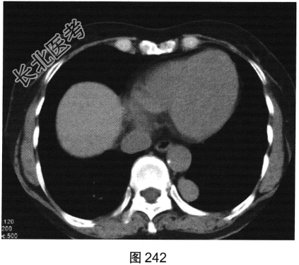
- [材料题] 患者女性,25岁。偶有胸闷,进食不畅,无咳嗽、无发热。行胸部CT检查,如图241、图242所示。


- 多项选择题1.对病灶的正确描述是( )
A、可见分叶
B、病灶位于左肺下叶内前基底段
C、病灶可能起源于左下后肋
D、胸膜凹陷征
E、宽基底于胸膜相连
F、病灶可能起源于胸膜
G、边缘光滑
H、病灶可能起源于椎管内
关注下方微信公众号,搜题查看答案

- 多项选择题2.为进一步明确结节的性质,有价值的检查是( )
A、胸部MRI增强+DWI检查
B、纤维支气管镜检查
C、胸部常规CT增强检查
D、胸部高分辨率CT
E、胸部低剂量CT
F、PET/CT检查
关注下方微信公众号,搜题查看答案

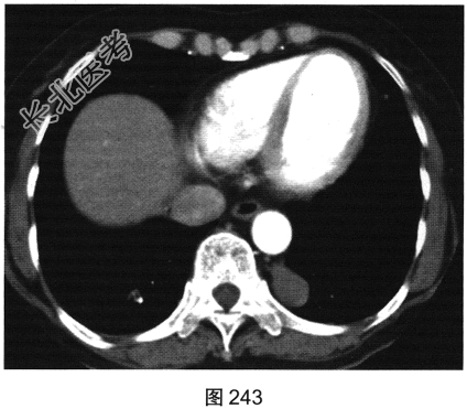
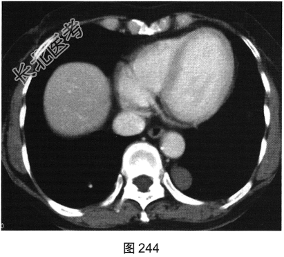
- 多项选择题3.[提示]患者增强CT如图243、图244所示。下述哪些征象的描述是正确的( )


A、可出现气液平面
B、增强扫描无明显强化
C、囊性病变也可表现为平扫高密度
D、MRI对本例病变的鉴别诊断没有帮助
E、如病灶内可见支气管穿行进入,则可定位在肺内
F、神经源性肿瘤常可见椎间孔扩大
关注下方微信公众号,搜题查看答案

- 多项选择题4.根据上述临床资料与CT表现特点,该患者最可能的诊断是( )
A、淋巴管瘤
B、神经源性肿瘤
C、肺脓肿
D、孤立性纤维瘤
E、支气管闭锁
F、支气管囊肿
G、脊膜膨出
H、肺隔离症
关注下方微信公众号,搜题查看答案

- 多项选择题5.支气管囊肿常用的诊疗策略包括( )
A、对于无症状或临床症状较轻的患者,以及不能耐受手术者,可选用内科治疗。
B、经皮肺穿刺活检
C、病灶较小,未并发感染可不予特殊治疗
D、不需要随访
E、手术切除
F、随访复查
关注下方微信公众号,搜题查看答案

热门试题
- 1、关于该病急性期的说法中,不正确的是(
- 下述肺间质病变CT表现,错误的是 (
- 患者70岁,最可能的诊断是 (
- 不支持结节病的肺内改变的是 (
- 慢性肺气肿常见的X线征象包括A、肺纹理增
- 引起纵隔血肿的原因为 ( )A
- MRI检查易于显示淋巴结病变,主要取决于
- 男婴,11月, 咳嗽,结合图像, 最可能
- 如图所示,左侧胸部病变, 最可能的诊断为
- 游离性胸腔积液在胸部X线平片上可见到,一
- 两肺粟粒结节,大小一致, 分布均匀,最可
- 肺转移瘤中两肺呈多发或单发的较大结节及肿
- 下列关于恶性胸膜间皮瘤的说法,正确的是A
- 周围型肺癌是指肿瘤发生在( )。A、
- 大叶性肺炎的CT表现的说法不恰当的是A、
- 女,8岁, 如图所示,最可能的诊断为
- 关于肺气肿X线表现,错误的是A、横膈低平
- 关于气胸下列哪项是错误的A、CT检查的目
- 良、恶性胸膜间皮瘤的鉴别 (
- 男,28岁, 胸闷1周,胸部CT如图,