试题详情
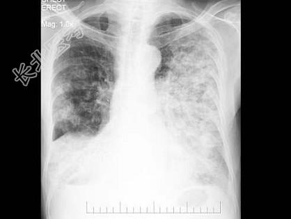
- 单项选择题男,56岁, 痰中带血1月余,X线检查如图, 最可能的诊断是 ( )

A、两肺炎症
B、肺转移瘤
C、血行播散型肺结核
D、细支气管肺泡癌
E、矽肺
关注下方微信公众号,搜题查看答案

热门试题
- 肺门增大的常见原因不包括A、肺门淋巴结肿
- 女,33岁, 咳嗽,无发热, 结合图像,
- 女,35岁, 右肺上叶后段薄壁空洞,直径
- 周围型肺癌,所形成的空洞,其X线特征是A
- 游离性胸腔积液X线表现描述错误的是A、患
- 男,58岁, 不规则发热4个月。CT表现
- 指出下列血管造影表现为恶性者A、血管增生
- 下列肺炎中X线表现为类圆形阴影且易形成空
- 单枚纵隔或肺门淋巴结测量值属于可疑病变范
- 1、主要影像表现包括( )A、磨玻璃
- 对于阻塞性肺不张内的肺门肿块,MRI表现
- 1、最可能的CT诊断为2、为明确支气管扩
- 放射性肺炎描述错误的是 ( )A
- 肺内结节病灶具有CT值为-32HU 的地
- 女,57岁, 胸闷,呼吸不畅1月。MRI
- 在纵隔九分区法中,作为中后纵隔分界的是A
- 用于乳腺检查的影像学技术通常不包括(
- 右肺根内结构如图,自上而下依次为 (
- 下列结核X线平片可表现为大小、密度、分布
- 关于气胸下列哪项正确 ( )A