试题详情
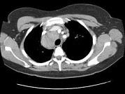
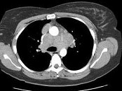
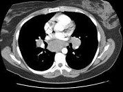
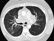
单项选择题女,33岁, 咳嗽,无发热, 结合图像,最可能的诊断是 ( )

A、肺结节病

B、淋巴瘤

C、中央型肺癌

D、胸腺瘤

E、支气管囊肿

  • 关注下方微信公众号,搜题查看答案

热门试题