试题详情
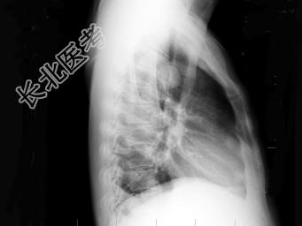
- 单项选择题男,38岁, 咳嗽、胸痛、咯血1天,X线检查如图, 最可能的诊断是 ( )

A、炎性假瘤
B、原发性肺癌
C、肺结核球
D、肺转移瘤
E、结节病
关注下方微信公众号,搜题查看答案

热门试题
- 关于先天性支气管囊肿,下列说法错误的是(
- 1、最可能的CT诊断为2、为明确诊断应首
- 男,34岁, 发热,咳嗽, 咳痰, 结核
- 上叶分布为主的肺纤维化见于 (
- 关于肺透明膜病,下列观点错误的是 (
- MR成像过程中,金属产生伪影是因为是
- 关于肿瘤复发及放射性肺炎的说法,错误的是
- 下列哪项不是鉴别胸水和腹水的征象A、胸水
- 常累及中纵隔的疾病有A、结节病B、Cas
- 女,52岁, 感胸痛2月余,无发热, X
- 气胸的X线表现描述错误的是A、患侧胸部高
- 支气管异物的间接X线征象中包括下列哪项A
- 下面对乳腺MRI检查技术叙述,正确的是(
- 患者女,56岁, 乳腺癌手术后,未行化疗
- 肺癌放射治疗时脊髓受量一般要控制在___
- 小叶性肺炎发生在小儿,主要表现为A、脊柱
- 右主支气管在距气管隆突几厘米处分出右肺上
- 肺内错构瘤的典型X线征象是A、孤立圆形阴
- 心脏MRI不适用于 ( )A、室
- 下列关于Kerley B线的描述,不正确