试题详情
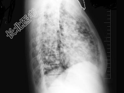
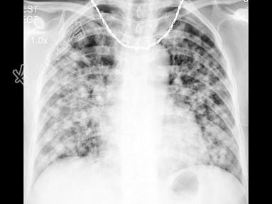
- 单项选择题女,52岁, 感胸痛2月余,无发热, X线检查如图,最可能的诊断是 ( )

A、细支气管肺泡癌
B、两肺炎症
C、亚急性血行播散型肺结核
D、肺转移瘤
E、结节病
关注下方微信公众号,搜题查看答案

热门试题
- X线胸片的中肺野是指A、第2~4肋骨最低
- 右主支气管在距气管隆突几厘米处分出右肺上
- 下列结核可以在出现症状的前2周无X线表现
- 下列关于胸腺瘤的观点,不正确的是 (
- 1、最可能的诊断为2、纵隔淋巴结增大的判
- 支气管肺炎的CT表现包括A、可形成空洞B
- 下列病毒性肺炎影像的特点,错误的是A、肺
- 透视发现右前上纵隔有一椭圆形块影,其中有
- 双肺多发的钙化可见于A、肺结核B、矽肺C
- 双下肺野内中带有多发的斑片状影,同时有小
- 产生黑色流空信号最典型的是A、湍流B、层
- 肺转移瘤中呈小结节及粟粒病变者多见于
- 单侧肺透亮度增加,可见于 (
- 胸壁结核可能的感染途径为A、邻近病灶直接
- 男,42岁, 轻度咳嗽,胸部隐痛2月余,
- 肺淀粉样变性分型,下列哪项不在其内
- 纵隔肿瘤中,见不到钙化的是A、畸胎类肿瘤
- 肺栓塞的X线表现有 ( )A、
- 1、最可能的诊断是2、为明确诊断,进一步
- 引起大叶性肺炎最常见的致病菌为A、肺炎克