试题详情
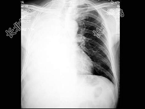
- 单项选择题男,65岁, 胸痛,胸片检查如图, 下列诊断中最可能的是 ( )

A、右肺胸膜肥厚
B、右肺不张
C、右侧胸腔积液
D、右肺炎症
E、以上都不对
关注下方微信公众号,搜题查看答案

热门试题
- 肺转移瘤中两肺呈小结节及粟粒状病变见于
- 关于支原体肺炎,下列描述哪项正确 (
- 1、患者病变的影像特点包括( )A、
- 1、最可能的CT诊断为2、为明确支气管扩
- 胸片显示为双侧性弧形肿块,密度均匀,且无
- 结缔组织疾病的共同特点为 (
- 大叶性肺炎实变期一般出现在发病后(
- 女,1天早产儿, 呼吸困难、发绀,结合图
- 以下哪项是纵隔神经源性肿瘤的CT特征A、
- 下列尘肺中易合并恶性间皮瘤的是 (
- 下列哪项表现不支持纵隔神经源性肿瘤的诊断
- 有关矽肺的叙述正确的是A、早期可出现间隔
- 下列哪一项不是周围型肺癌的影像学表现A、
- 男,63岁, 咳嗽、发热1月余,消廋、乏
- 如图所示,患者发热、胸痛2个月,最可能的
- 下列胸部CT检查特点的描述,错误的是(
- 诊断支气管扩张,安全无创伤首选的检查方法
- 肺结核病的全身中毒症状有 (
- 男,68岁, 胸闷、气短1年余,加重1周
- 1、首先考虑的诊断是 ( )2、