试题详情
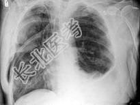
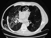
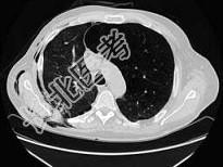
- 单项选择题男,68岁, 胸闷、气短1年余,加重1周, 右胸有手术史,结合CT图像, 最可能的诊断是 ( )

A、右侧气胸并皮下气肿、左侧肺气肿
B、右侧气胸并皮下气肿、左侧肺不张
C、双侧肺气肿
D、右侧气胸并皮下气肿
E、右侧肺间质病变、左侧肺气肿
关注下方微信公众号,搜题查看答案

热门试题
- 下列有关AIDS肺部CT征象的描述,错误
- 关于特发性肺间质纤维化,正确的是A、为感
- 目前对支气管扩张的诊断重要方法是A、支气
- 当血流动力学的变化是左向右分流时,下列哪
- 肿块最大上下径在纵隔内,基底部宽, 其外
- 中央型肺癌的转移表现包括A、肺门阴影增大
- 1、该患者首先考虑诊断为( )。A、
- 垂柳征最常见于A、肺炎B、慢性纤维空洞型
- 下列哪项CT表现提示有结节病的可能
- 纵隔向患侧移位,见于 ( )A
- 术前检查中发现团块性病灶,最可能的诊断是
- 属于空腔性病变的是( )。A、壁的厚
- 右肺门角是哪两种结构的夹角A、右中叶静脉
- 有关肺癌CT增强扫描特点的叙述,下列说法
- 下列哪些征象与纵隔淋巴瘤相关,并可由MR
- 来自神经内分泌细胞的癌是A、小细胞癌B、
- 根据PET和CT图像,最可能的诊断是
- 男,38岁, 咳嗽伴咳白色泡沫痰3周,呼
- 支气管异物的间接征象不包括A、金属类阻光
- 1、分析上述病例,你认为最可能的诊断是2