试题详情
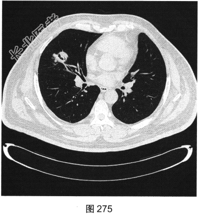
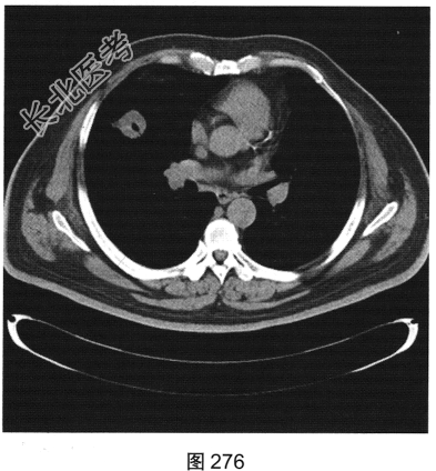
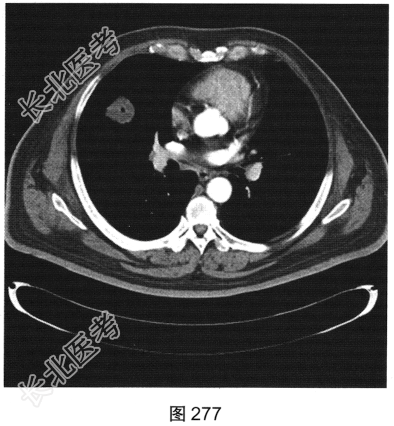
- [材料题] 患者男性,56岁,因“查体发现右肺中叶结节半个月余”就诊。患者于半个月前在小汤山疗养院查体时行胸部X线检查,显示右肺中叶结节,遂至我院就诊。行胸部CT检查:显示右肺中叶外侧段有一肿块影,大小为3.6cm×3.2cm,可见分叶,边缘有毛刺,内见空泡影,CT值约15HU,增强后CT值约25HU。患者近期无咳嗽、咳痰,无咯血、胸痛,无发热、乏力,无声音嘶哑、饮水呛咳,无头痛、头晕,未予特殊治疗。为进一步诊治,以“右肺占位”收入我院。患者精神状态良好,体力、食欲、睡眠正常,体重无明显变化,大、小便正常。胸部CT检查如图274~图277所示。




- 多项选择题1.患者病变的影像特点包括( )
A、右肺中叶结节
B、裂隙样空洞
C、界限清楚
D、血管集束征
E、病变轻度强化
F、可见卫星灶
关注下方微信公众号,搜题查看答案

- 多项选择题2.根据患者临床病史和影像特征,您的诊断是( )
A、周围型肺癌
B、真菌球
C、结核球
D、寄生虫
E、良性肿瘤
F、机化性肺炎
关注下方微信公众号,搜题查看答案

- 多项选择题3.为明确诊断,下一步需要进行的检查和治疗( )
A、支气管镜检
B、血常规检查
C、PET/CT
D、CT引导下穿刺活检
E、手术
F、抗结核治疗
关注下方微信公众号,搜题查看答案

- 多项选择题4.需要做的实验室检查是( )
A、肿瘤标记物
B、PPD
C、血红细胞沉降率
D、T-spot
E、血常规
F、G和GM实验
关注下方微信公众号,搜题查看答案

热门试题
- 膈肌升高的病人,出现肺底部横线条影时,首
- 患者女性,12岁, 查体发现左肺下叶软组
- 男婴,11月, 咳嗽,结合图像, 最可能
- 支气管动脉栓塞治疗大咯血应首选的栓塞剂是
- Goodpasture综合征(肺一肾综合
- 亚急性血行播散型肺结核的主要表现A、粟粒
- 肺内团块状阴影,轮廓清楚、光滑,密度均匀
- 周围型肺癌累及较大的支气管,以下列哪种类
- 下列是肺隔离症的影像学表现的是( )
- 先天性支气管囊肿与后天性囊肿的区别在于前
- 扫描必须包括上纵隔的疾病是A、甲状腺结节
- 肺转移瘤最常见的表现形式是 (
- 可出现爆米花样钙化的是( )。A、肺
- 肺结节病中,肺部有病变但不伴淋巴结肿大,
- 关于肿瘤复发及放射性肺炎的说法,错误的是
- 肺结核发生1~2周内,临床症状较重,而X
- 可疑肺栓塞患者首选的影像学检查方法是(
- 胸片显示为双侧性弧形肿块,密度均匀,且无
- 下列关于正常胸部结构MRI表现的说法,正
- 肺类风湿病的实验室检查多见A、血沉减慢B