试题详情
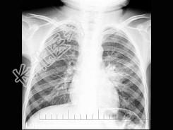
- 单项选择题男,3岁, 咳嗽、低热2周余,不咯血、咳痰, X线检查如图,最可能的诊断是 ( )

A、左肺炎症
B、左肺结核(Ⅰ型)
C、左肺结核(Ⅱ型)
D、左肺结核(Ⅲ型)
E、肺癌
关注下方微信公众号,搜题查看答案

热门试题
- 下列征象不是肺肿瘤与纵隔肿瘤的鉴别要点的
- 患者男性,20岁。体检发现右肺下叶背段长
- 对于肺纹理的叙述正确的是A、肺纹理呈树枝
- 化脓性肺炎最常见的细菌感染为A、金黄色葡
- 放射性肺炎的CT表现为 ( )
- 以下征象中不支持纵隔肿瘤诊断的是A、呼吸
- 慢性支气管炎的X线表现包括A、肺纹理扭曲
- 男,32岁, 2天前被人踢伤胸部,感胸闷
- 下述肺间质病变CT表现,错误的是 (
- 纵隔淋巴结肿大可见于 ( )A、
- 关于肺动脉高压的影像学表现,下列描述正确
- 支气管扩张可见于( )A、严重的支气
- 下列疾病中,哪些钙化少见 (
- 1、最可能的诊断是2、一般来说,该病的好
- Kerley B线提示( )。A、肺
- 囊状肺动静脉瘘的典型X线表现为 (
- 不规则型肺气肿常分布在 ( )A
- 1、图像上显示病变最具特征性的影像表现是
- 男,57岁, 胸痛数月,近2天痰中带血,
- 下列哪项为确诊肺动静脉瘘首选的检查方法为