试题详情
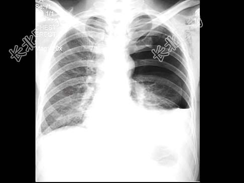
- 单项选择题男,32岁, 2天前被人踢伤胸部,感胸闷、呼吸困难, X线检查如图,最可能的诊断为 ( )

A、左侧气胸
B、左侧胸腔积液
C、左侧胸膜肥厚
D、左侧液气胸
E、左侧肺挫伤
关注下方微信公众号,搜题查看答案

热门试题
- 结节病的病理特征是( )。A、干酪坏
- 胸部恶性畸胎瘤MRI提示恶性最重要的指征
- 肺部X线表现为锁骨下区纤维条索状阴影,属
- 肺内团块状阴影,轮廓清楚、光滑,密度均匀
- 男,52岁, 体检胸片如图,最可能的诊断
- 1、最可能的CT诊断为2、进一步明确诊断
- 肺间质纤维化可见于 ( )A、
- 乳腺癌的CT表现,正确的是( )。A
- 在X线诊断中"肺门”包括以下哪些结构
- 关于肺泡蛋白沉着症的有关叙述中错误的是
- 支气管扩张症的正确表现有 ( )A、有肺
- 肺转移瘤中两肺呈小结节及粟粒状病变见于
- 小叶性肺炎发病开始后多少小时内,往往没有
- 支气管囊肿CT值不正确者的是 (
- 诊断支气管扩张,安全无创伤首选的检查方法
- 类风湿性关节炎伴肺部受累表现为A、常见于
- 下列关于支气管囊肿的描述错误的是A、呼吸
- 男,28岁, 外伤后1小时,胸部CT如图
- 下列哪项是矽肺X线特征征象A、团块阴影B
- 中央型肺癌的间接X线征象是A、肺门区肿块