试题详情
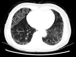
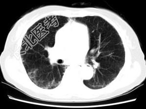
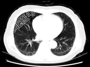
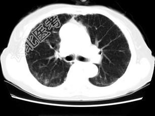
- 单项选择题女,35岁, 咳嗽,咳痰, 发热3月余,胸部CT如图, 最可能的诊断为 ( )

A、类风湿肺炎
B、红斑狼疮性肺炎
C、间质性肺炎
D、肺结节病
E、肺部感染
关注下方微信公众号,搜题查看答案

热门试题
- 1、患者的主要影像特征是( )A、双
- 慢性肺脓肿空洞可以是( )。A、圆形
- 患者,男, 3岁,突发左侧胸痛伴呼吸困难
- 患者,男, 24岁。低热2周,咳少量痰。
- 患者,男, 50岁。CT表现为:纵隔前中
- 肺内网状、蜂窝状阴影可见于下列哪些病变
- 根据PET和CT图像,最可能的诊断是
- 下列疾病不能在胸片上看到“空气支气管征”
- 指出下列血管造影表现为恶性者A、血管增生
- 关于先天性支气管囊肿,下列说法错误的是(
- 组织学上,周围型错构瘤的主要成分是A、软
- 男,19岁, 感胸闷、胸前区隐痛,X线检
- 下列关于肺转移瘤的描述哪项是错误的
- 女,33岁, 咳嗽,无发热, 结合图像,
- 厚壁空洞和薄壁空洞壁厚的界定标准为A、1
- 与吸烟密切相关的疾病包括( )A、肺
- 关于胸部组织的信号特征,下列叙述不正确的
- 下列哪种病变一般不会形成空洞A、错构瘤B
- 男,30岁。反复发作哮喘,持续性发热3年
- 结核球与周围型肺癌鉴别诊断的关键在于前者