试题详情
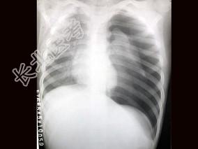
- 单项选择题患者,男, 3岁,突发左侧胸痛伴呼吸困难3小时入院, 如图所示,最可能的诊断为 ( )

A、左侧肺气肿
B、左侧气胸
C、左肺门淋巴结结核
D、右肺小叶性肺炎
E、以上都不正确
关注下方微信公众号,搜题查看答案

热门试题
- 肺静脉高压征象有( )。A、上肺静脉
- 女,6岁, 低热,盗汗, 咳痰,呼吸困难
- 关于肺气肿X线表现,错误的是A、横膈低平
- 慢性肺炎的CT表现中,错误的是 (
- 吸入性肺脓肿的好发部位是下列哪项 (
- 下列哪项为确诊肺动静脉瘘首选的检查方法为
- 下列关于支气管囊肿的描述错误的是A、呼吸
- 胸片示厚壁空洞性病变,则可除外A、支气管
- 关于胸腺瘤与胸腺增生的鉴别要点,下列说法
- 肿块最大上下径在纵隔内,基底部宽, 其外
- 最常用于肺癌灌注的药物是A、环磷酰胺B、
- 关于孤立性肺结节,错误的描述是( )
- 下述哪些属硅酸盐肺 ( )A、
- 有关结节病,正确的是 ( )A、
- 在早期周围型肺癌中,"小泡征"常见于A、
- 肺移植患者,有持久的咳嗽和体重减轻,正确
- 引起大叶性肺炎最常见的致病菌为A、肺炎克
- 类癌的类型中不包括 ( )A、典
- X线平片示两肺野出现大小、密度、分布三均
- 下列哪项不是鉴别胸水和腹水的征象A、胸水