试题详情
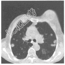
- 单项选择题女,67岁, 乳癌术后1年,胸部CT如图, 首先应考虑

A、石棉肺
B、金葡菌肺炎
C、粟粒性肺结核
D、淋巴瘤
E、肺转移瘤
关注下方微信公众号,搜题查看答案

热门试题
- 右主支气管水平奇静脉直径正常为A、3mm
- 关于肺癌支气管动脉造影,下述错误的是
- 男,45岁, 20年前患过肺结核,3月来
- 肺内团块状阴影,轮廓清楚、光滑,密度均匀
- 下列肺放线菌病特点,错误的是 (
- 自发性纵隔气肿可见于 ( )A
- 透视检查的缺点是( )A、不能了解器
- 不支持结节病的肺内改变的是 (
- 典型结核结节中心组织结构是:①肉芽组织,
- 男,38岁, 咳嗽伴咳白色泡沫痰3周,呼
- 支气管充气征不见于下列哪种病变 (
- 肺脓肿的常见感染途径是A、吸入性B、血源
- 男,32岁, 2天前被人踢伤胸部,感胸闷
- Kerley B线提示( )。A、肺
- 患者,男,45岁,咳嗽,咳痰,高热(39
- 该病例最可能的诊断为 ( )
- 1、可能性最大的诊断 ( )2、
- 稳定进动快速成像序列要点为 (
- 肺泡性肺水肿的X线征象有 (
- 5岁男性,有不洁饮食史, 自觉胸痛,气急