试题详情
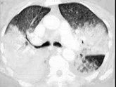
- 单项选择题男,38岁, 咳嗽伴咳白色泡沫痰3周,呼吸困难, CT如图,最可能的诊断是 ( )

A、金葡菌肺炎
B、大叶性肺炎
C、两肺多发段性不张
D、肺泡细胞癌
E、非典型肺炎
关注下方微信公众号,搜题查看答案

热门试题
- 下列乳腺病变,可见钙化的是( )。A
- 患者60岁,男,体检胸片发现异常,CT检
- 下述肺脓肿的CT、MRI表现特点,错误的
- 肺叶外型肺隔离症,错误的是( )。A
- 结节病较少累及的部位为 ( )A
- 女,35岁, 养鸽,咳嗽、咳痰, 结合C
- 下列病理类型的肺癌预后最差的是( )
- 肺内病灶与钙化对应的关系,以下不正确的是
- 肺间质水肿时最早出现的CT表现是A、双肺
- 关于肺动脉栓塞的CT表现,下列哪项最具有
- 关于肺栓塞肺动脉造影的主要表现,不正确的
- 肺癌支气管动脉栓塞治疗最严重的并发症是A
- HIV阳性患者近来咳嗽,胸闷,胸片检查发
- 胸片上,双肺弥漫粟粒样阴影可见于 (
- 肺内直径小于2cm病灶的最佳检查方法是A
- 关于一侧肺不发育的X线表现,下列哪项是不
- 该病例最可能的诊断为 ( )
- 膈肌的矛盾运动以哪种体位观察最佳 (
- 引起肺脓肿发生的疾病是( )。A、肺
- 对于肺纹理的叙述正确的是A、肺纹理呈树枝