试题详情
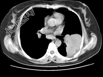
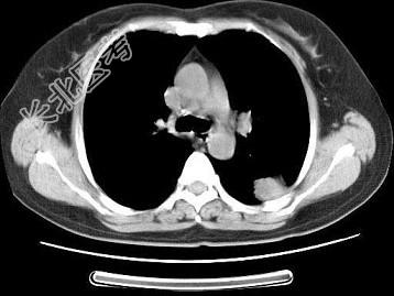
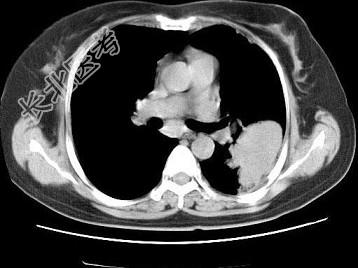
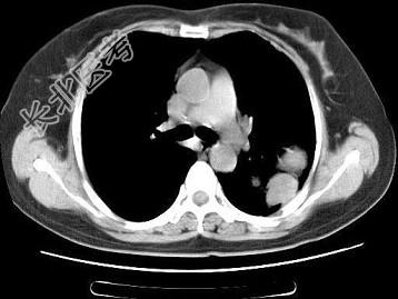
- 单项选择题女,52岁, 左侧背痛1月,胸部CT如图, 最可能的诊断为 ( )

A、左肺中央型肺癌
B、左肺周围型肺癌
C、左肺感染
D、左肺炎性假瘤
E、肺隔离征
关注下方微信公众号,搜题查看答案

热门试题
- 男,36岁, 胸痛半月伴发高热,胸片发现
- 肺结核的基本影像表现包括A、云雾状、斑片
- 50岁,男, 右侧胸痛、咳嗽、咯血3月,
- 肺部CT的应用指征不包括 ( )
- 下述胸部病变诊断知识,错误的是 (
- 关于肺韦格肉芽肿的描述,不正确的是
- 下列病变影像表现可呈游走性的是A、病毒性
- 男,68岁, 胸闷、气短1年余,加重1周
- 支气管阻塞征象中,最早的改变为A、阻塞性
- 患者男,体检时发现肺内结节,行CT检查如
- 患者,男,28岁。咳嗽、咳痰、咯血、胸痛
- 大叶性肺炎实变期一般出现在发病后(
- 下列哪项为确诊肺动静脉瘘首选的检查方法为
- 肺栓塞的影像学表现是A、肺透亮度降低B、
- 肺内直径小于2cm病灶的最佳检查方法是A
- 下列乳腺病变,可见钙化的是( )。A
- 下列哪种疾病一般不会出现空洞A、大叶性肺
- 肺结核的基本病理变化有( )。A、渗
- 关于慢性肺炎,错误的是A、又称为慢性非特
- X线平片示两肺野出现大小、密度、分布三均