试题详情
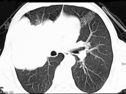
- 单项选择题50岁,男, 右侧胸痛、咳嗽、咯血3月,结合图像, 最可能的诊断是 ( )

A、纵隔肿瘤
B、肺结核
C、肺癌
D、胸膜间皮瘤
E、韦格肉芽肿
关注下方微信公众号,搜题查看答案

热门试题
- 男,36岁, 胸痛半月伴发高热,胸片发现
- 下列哪种疾病不表现双肺弥漫粟粒样阴影
- 罕有单侧肺门影增大的病变是 (
- 女,8岁, 如图所示,最可能的诊断为
- 肺内进行性大块纤维化可见于 (
- 呼吸系统USG的非适应证A、肺炎B、肺结
- 肺结节病中,肺部有病变但不伴淋巴结肿大,
- 脱屑性间质性肺炎的CT特征 (
- 关于原发性支气管肺癌,下列哪项描述不准确
- 上叶大叶性肺炎吸收期主要需鉴别的疾病是
- 间质性肺水肿的X线征象有A、双侧上肺静脉
- 部位、大小、数目可一日数变的肺气囊是下列
- 肺放线菌病的CT表现为下述哪些 (
- 男,50岁, 慢性支气管炎病史10余年,
- 右下肺门的主要构成为A、右下肺动脉及下肺
- 化脓性肺炎的X线特征性表现是 (
- 患者男,65岁,咳嗽、右侧胸痛、痰中带血
- 胸膜凹陷征多见于哪种病理类型的周围型肺癌
- 在CT轴位像上,主肺动脉的直径不应大于
- 患者,发热、咳嗽、胸痛、咳痰、痰有臭味,