试题详情
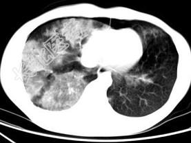
- 单项选择题男,28岁, 外伤后1小时,胸部CT如图, 最可能的诊断为 ( )

A、肺炎
B、肺脓肿
C、肺囊肿
D、肺癌
E、双肺挫伤
关注下方微信公众号,搜题查看答案

热门试题
- 在周围型肺癌的癌性空洞的特点是A、厚壁空
- 下列哪项表现不支持纵隔神经源性肿瘤的诊断
- 继发性肺结核可以见到的各种基本病变为
- 肺静脉高压诊断的重要指征是 (
- 女,35岁, 右肺上叶后段薄壁空洞,直径
- 以下哪项不是侵袭性胸腺瘤的CT表现A、肿
- 1、患者左侧肺部基本病变为( )。A
- 1、在提供的CT平扫图像上,可观察到下列
- 男,43岁, 体检X线发现肺部一占位性病
- 主肺动脉窗层面不包括哪一解剖结构 (
- 创伤性支气管断裂 ( )A、X线
- 机遇性肺炎包括( )A、病毒性肺炎B
- 先天性支气管囊肿与后天性囊肿的区别在于前
- 1、关于该患者上述影像,叙述正确的是(
- 膈疝的X线平片表现,不正确的是( )
- 肺隔离症在诊断时需与以下哪些疾病鉴别
- 男,68岁, 咳嗽,气喘10年, 桶状胸
- 支气管肺炎的CT表现包括A、可形成空洞B
- 纵隔皮样囊肿可有哪些CT表现 (
- 关于急性粟粒型肺结核的说法中正确的是A、