试题详情
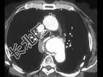
- 单项选择题患者60多岁,男性, 胸部不适加重,最可能的诊断为 ( )

A、食管癌
B、肺癌
C、主动脉瘤破裂
D、淋巴瘤
E、以上都不是
关注下方微信公众号,搜题查看答案

热门试题
- 1、该患者首先考虑诊断为( )。A、
- 用胸片估计胸腔积液量,下列描述哪项不对
- 男,5岁。发热、胸痛、胸闷、气促。X线检
- 1、最可能的诊断是2、为明确诊断,进一步
- 胸片示厚壁空洞性病变,则可除外A、支气管
- 男,66岁, 咳嗽、发热2周余,无痰中带
- 支持支气管囊肿的影像诊断特征包括(
- 女,34岁, 发热咳嗽2周,当地胸透诊断
- 下述Goodpasture综合征病理改变
- 1、最可能的诊断是( )。A、左下肺
- 关于孤立性肺结节,错误的描述是( )
- 用于乳腺检查的影像学技术通常不包括(
- 下叶肺不张的X线表现描述中不正确的是A、
- 大量血胸,X线胸片呈现为A、X线胸片呈肺
- 下列胸部疾患X线摄影位置,正确的是A、肺
- 小叶间隔增厚可见于下列哪种疾病( )
- 根据PET和CT图像,最可能的诊断是
- 女,43岁, 两眼不能完全睁开,全身无力
- 下列征象不是肺肿瘤与纵隔肿瘤的鉴别要点的
- 有关肺癌CT增强扫描特点的叙述,下列说法