试题详情
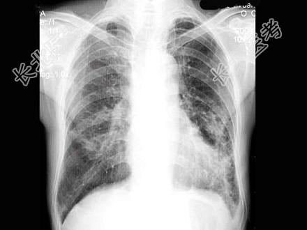
- 单项选择题男,66岁, 咳嗽、发热2周余,无痰中带血, X线检查如图,最可能的诊断是 ( )

A、细支气管肺泡癌
B、血行播散型肺结核
C、左肺浸润型肺结核
D、左肺炎症
E、肺转移瘤
关注下方微信公众号,搜题查看答案

热门试题
- 胸膜凹陷征多见于哪种病理类型的周围型肺癌
- 下述肺良性肿瘤较多见的是A、血管瘤B、平
- 1、肺内容易出现小叶间隔及血管支气管束增
- 不符合转移性胸膜肿瘤的临床X线表现的是A
- X线表现为粗大树枝样阴影,尖端指向肺门,
- 肺部渗出性病变的基本X线表现描述错误的是
- 女,9岁, 呼吸困难半月余,结合图像,
- 中央型肺癌病理分型按发病率由多到少排列,
- 该病例为少见病,正确的诊断为 (
- 慢性支气管炎的基本病理不包括( )。
- 肺肿瘤的分期,TX代表A、原位肿瘤B、隐
- 呼吸系统USG的非适应证A、肺炎B、肺结
- 肺脓肿的常见感染途径是A、吸入性B、血源
- 支气管囊肿CT值不正确者的是 (
- 下列疾病,可有阻塞性肺不张表现的是
- 胸腔积液可为 ( )A、血性B、
- 下面结节病的X线表现中,错误的是 (
- 患者,男,50岁。右肺尖发现异常肿块样影
- 男,47岁。胸痛,渐进性呼吸困难3月。M
- 鳞癌的特点,错误的是 ( )A、