试题详情
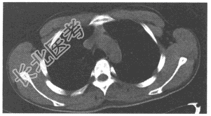
- 单项选择题女,43岁, 两眼不能完全睁开,全身无力两年余。胸部CT扫描前纵隔内发现肿块, 如图,最可能的诊断是

A、畸胎瘤
B、心包囊肿
C、气管囊肿
D、胸内甲状腺肿
E、胸腺瘤
关注下方微信公众号,搜题查看答案

热门试题
- 1、对病灶的正确描述是( )A、可见
- 下述不是肺水肿的X线表现的是 (
- 小叶性肺炎发生在小儿,主要表现为A、脊柱
- 在纵隔肿瘤的组织来源中,不正确的是
- 纵隔淋巴结肿大可见于 ( )A、
- 在胸片上,无广泛线状、索条状、网状及蜂窝
- 稳态进动快速成像序列的稳态是指 (
- 关于肺气肿的基本病理改变,错误的是A、肺
- 下列关于恶性胸膜间皮瘤的说法,正确的是A
- 小叶旁型肺气肿主要分布在 ( )
- 1、你认为最可能的诊断是2、进一步检查首
- 支气管扩张最好发的部位为( )。A、
- 指出下列血管造影表现为恶性者A、血管增生
- 以下不属于空洞性病变的是A、肺脓肿B、肺
- 关于奇叶描述错误的是 ( )A、
- 下列肺挫伤的诊断要点,正确的是A、胸痛、
- 关于右肺中叶不张的X线表现,下列错误的是
- 关于肺吸虫病,下列描述错误的是 (
- 进展期中央型肺癌的瘤体CT征象可以有
- 肺循环高压的分类为( )A、肺部病变