试题详情
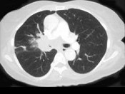
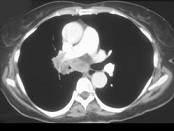
- 单项选择题男,56岁, 咳嗽,咯血1月余, 有吸烟史30余年,结合CT检查, 最可能的诊断是 ( )

A、肺结核
B、肺炎
C、结节病
D、肺错构瘤
E、中央型肺癌
关注下方微信公众号,搜题查看答案

热门试题
- 1、最可能的诊断为2、纵隔淋巴结增大的判
- 下列支原体肺炎的描述,错误的是 (
- 肺结核基本病变的包括 ( )A、纤维化和
- 引起大叶性肺炎最常见的致病菌为A、肺炎克
- 中央型肺癌较常见的组织学类型是 (
- 支气管囊肿的囊壁可以含有哪些成份 (
- 患者女,56岁, 乳腺癌手术后,未行化疗
- 可引起支气管狭窄及闭塞的是 (
- PET示左下肺结节是 ( )
- 男,56岁, 咳嗽,咯血1月余, 有吸烟
- 男,24岁, 低热、乏力数周,夜间偶有盗
- 男,45岁, 胸痛,咳嗽, 咳痰半月余,
- 男,52岁, 从事矿井工作32年,近几年
- 纵隔淋巴瘤的好发部位是A、中纵隔B、前纵
- 关于正常胸腺的CT表现,描述错误的是A、
- 关于感染所致的支气管扩张病理改变,错误的
- 大叶性肺炎的CT表现的说法不恰当的是A、
- 关于肺癌特征影像病理基础,下列描述哪项不
- 引起膈肌改变的疾病包括A、纵隔病变B、腹
- 不属于特殊检查的是 ( )A、体