试题详情
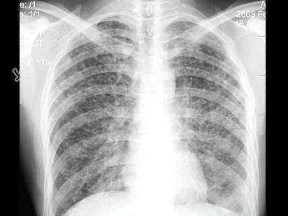
- 单项选择题男,24岁, 低热、乏力数周,夜间偶有盗汗, 胸片如图,最可能的诊断是 ( )

A、细支气管肺泡癌
B、肺转移瘤
C、两肺炎症
D、血型播散型肺结核
E、结节病
关注下方微信公众号,搜题查看答案

热门试题
- 支气管气相可见于 ( )A、周
- 下列哪项不符合支气管囊肿的CT表现
- 患者男,62岁,痰中带血丝2周,无发热,
- 胸片上,空洞可见于下列哪些疾病 (
- 男,66岁,胸痛1个月,胸部CT如图,最
- 膈肌的矛盾运动以哪种体位观察最佳 (
- 男,28岁, 胸闷1周,胸部CT如图,
- 1、你认为最可能的诊断是2、该病的特点哪
- 关于横向弛豫的描述,不正确的是 (
- 患者男,65岁,咳嗽、右侧胸痛、痰中带血
- 有关早期肺静脉高压的描述,正确的是A、肺
- 胸部恶性畸胎瘤MRI提示恶性最重要的指征
- 肺栓塞的X线表现有 ( )A、
- 胸部最基本的扫描平面为A、斜冠状位B、斜
- 患儿,2岁,肺部炎症早期出现胸腔积液或液
- 患者男,体检时发现肺内结节,行CT检查如
- 以下哪项CT表现最支持侵袭性胸腺瘤的诊断
- 硅肺早期X线表现为A、双侧肺门淋巴结肿大
- 肺转移瘤的X线表现是A、肺门区肿块影,可
- 支气管破裂最常见的X线征象是 (