试题详情
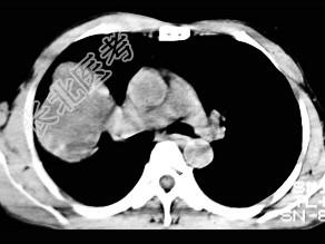
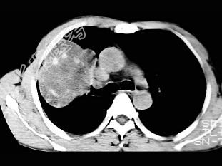
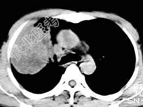
- 单项选择题根据所提供的图像,最可能的诊断是 ( )

A、肺内软骨肉瘤
B、胸膜间皮瘤
C、球形肺炎
D、机化性肺炎
E、局限性不张
关注下方微信公众号,搜题查看答案

热门试题
- 男,66岁, 近1月来感胸闷,有时低热,
- 女,35岁, 养鸽,咳嗽、咳痰, 结合C
- 支气管异物的间接征象不包括A、金属类阻光
- 好发于下叶的肺病变有 ( )A
- 1、针对上述临床症状及体征,最可能的诊断
- 患者,女, 57岁,咳嗽、咳痰两个月余,
- 小叶旁型肺气肿主要分布在 ( )
- 肺放线菌病的CT表现为下述哪些 (
- 肺栓塞的X线表现有 ( )A、
- 患者,男,56岁,无明显诱因突然咯血入院
- 特发性肺间质纤维化好发于 ( )
- 关于周围型肺癌X线表现,下列哪项描述不对
- 关于肺包虫病,下列描述哪项不对A、下叶多
- 肺纹理缺乏,常见于 ( )A、
- 以下哪项不是侵袭性胸腺瘤的CT表现A、肿
- 侵袭性曲菌病感染早期,CT扫描在肺部结节
- 纵隔肿瘤中,见不到钙化的是A、畸胎类肿瘤
- 下述哪项适合支气管动脉造影检查A、支气管
- 男,43岁, 体检X线发现肺部一占位性病
- 肺内网状、蜂窝状阴影可见于下列哪些病变