试题详情
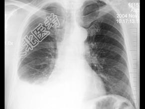
- 单项选择题男,66岁, 近1月来感胸闷,有时低热, 胸片如图,最可能的诊断为 ( )

A、化脓性胸膜炎
B、结核性胸膜炎
C、右下肺炎症
D、右下肺不张
E、右侧胸腔积液
关注下方微信公众号,搜题查看答案

热门试题
- 1、为明确病情,患者应优先选择以下哪些常
- 诊断支气管扩张,安全无创伤首选的检查方法
- 女,52岁, 左侧背痛1月,胸部CT如图
- 女,48岁, 胸痛1周,结合图像, 最可
- 卡氏肺囊虫病的特点有A、常为双侧性B、白
- 患者,男, 46岁,头痛1周, 加重1天
- MRI检查易于显示淋巴结病变,主要取决于
- 属于大叶性肺炎CT表现的是A、空气支气管
- 男,45岁, 20年前患过肺结核,3月来
- 支气管肺炎的好发部位A、两肺上野B、两肺
- 纵隔皮样囊肿可有哪些CT表现 (
- 囊性支气管扩张与多发性肺囊肿的鉴别在于,
- 下述不引起肺血减少的疾病是 (
- 膈下脓肿引起肺脓肿可表现为( )。A
- 正常胸部CT,一般升主动脉与降主动脉横径
- 患儿,8岁。患急性传染病后,又出现气急、
- 支气管异物的间接X线征象中包括下列哪项A
- 周围型肺癌与结核球的鉴别中对于后者是关键
- 下列肺梗死平片所见,错误的是 (
- 中央型肺癌胸内淋巴结转移多见于哪组淋巴结