试题详情
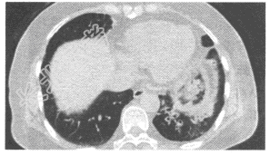
- 单项选择题患者,女, 57岁,咳嗽、咳痰两个月余, 3天前咯鲜血一次,约5ml, 作胸部CT扫描如图。则应诊断为

A、周围型肺癌
B、支气管肺炎
C、中央型肺癌
D、支气管扩张
E、肺泡蛋白沉积症
关注下方微信公众号,搜题查看答案

热门试题
- 下述哪项适合支气管动脉造影检查A、支气管
- 男,20岁, 胸闷、低热1月余,突然咯血
- 球形肺不张的CT表现 ( )A
- 支气管扩张最好发的部位为( )。A、
- 纵隔血肿的原因包括A、肺气肿B、主动脉瘤
- 肺纹理聚拢见于 ( )A、肺结
- 下列关于恶性胸膜间皮瘤的说法,正确的是A
- 男,67岁, 呼吸急促3月,结合胸片,
- 肺转移瘤中呈小结节及粟粒病变者多见于
- 下列不是原发性肺结核的X线征象的是A、哑
- 病灶密度均匀、边缘模糊影见于 (
- 支气管动脉栓塞治疗大咯血的适应证包括A、
- 70岁,女性, 间断性咳嗽10余年,近来
- 1、对病灶的正确描述是( )A、可见
- 区别肺叶发育不全与肺隔离症最佳的检查方法
- 男,52岁,乏力、胸闷、体重下降3个月。
- 有关结核瘤与周围型肺癌的鉴别点,正确的是
- 男,45岁, 胸痛,咳嗽, 咳痰半月余,
- 石棉肺的胸膜改变有 ( )A、
- 类癌的类型中不包括 ( )A、典