试题详情
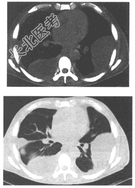
- 单项选择题某前列腺癌患者治疗后复查胸部CT如下图所示,则应诊断为

A、胸膜间皮瘤
B、胸膜增厚
C、胸腔少量积液
D、液气胸
E、胸腔包裹性积液
关注下方微信公众号,搜题查看答案

热门试题
- 下列关于肺转移瘤的描述,正确的是A、血行
- 关于肺实变,下列描述正确的是( )A
- 患者60岁,男,体检胸片发现异常,CT检
- 肺转移病灶主要表现多发性、无钙化、边缘清
- 下列关于Kerley B线的描述,不正确
- 1、最可能的CT诊断为2、为明确诊断应首
- 参与右肺门构成的有 ( )A、
- 关于慢性肺炎,错误的是A、又称为慢性非特
- 金黄色葡萄球菌肺炎特征性X线征象是A、两
- 肺癌放射治疗时,肺纤维化一般在放疗后__
- 肺癌放射治疗时脊髓受量一般要控制在___
- 典型结核结节中心组织结构是:①肉芽组织,
- 下述支气管扩张的CT特点,错误的是
- 下面对乳腺MRI检查技术叙述,正确的是(
- 下列有关石棉肺的说法,正确的是A、较滑石
- 肺动静脉瘘的X线表现中,以哪项诊断价值最
- 来自细支气管Clara细胞和Ⅱ型肺泡细胞
- 女,9岁, 呼吸困难半月余,结合图像,
- 下列哪种病变一般不会形成空洞A、错构瘤B
- 肺泡性肺水肿的典型X线征象是A、肺纹理模