试题详情
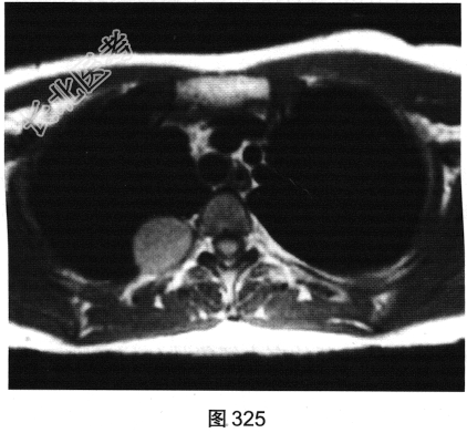
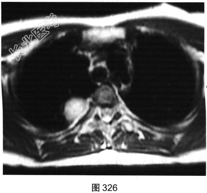
- [材料题] 患者女性,36岁,平素健康,无明显临床症状。单位体检拍摄胸部X线平片提示“右上肺阴影”。遂到大型医院进一步行胸部影像学检查,如图325~图327所示。


- 多项选择题1.关于该患者上述影像,叙述正确的是( )
A、上述为多层螺旋CT扫描图像
B、上述增强扫描包括横轴位和冠状面图像
C、上述冠状面图像为后处理重建图像
D、上述横轴位图像包括T1WI和T2WI
E、上述各断面图像均为平扫
F、上述图像中仅冠状面为增强图像
G、上述为胸部MRI扫描图像
关注下方微信公众号,搜题查看答案

- 多项选择题2.关于该患者胸部MRI显示征象,正确的描述是( )
A、病灶呈椭圆形起源于脏层胸膜
B、病灶明显强化提示其血供丰富
C、病灶位于右肺上叶后段胸膜下
D、病灶位于后纵隔脊椎旁区
E、在T,WI上呈高于肌肉的略高信号
F、在T2WI上呈高信号略欠均匀
G、冠状面示病灶可能来源于椎管内
关注下方微信公众号,搜题查看答案

- 多项选择题3.依据本病例临床和影像学表现,最可能的诊断为( )
A、右后胸壁转移瘤
B、右后胸膜局限型包裹积液
C、右后胸膜局限型间皮瘤
D、右后纵隔神经源肿瘤
E、右后纵隔食管囊肿
F、右后纵隔良性脂肪瘤
G、右肺上叶后段类癌
关注下方微信公众号,搜题查看答案

- 多项选择题4.需与该病变进行鉴别的疾病包括( )
A、右后纵隔食管囊肿
B、右后纵隔良性脂肪瘤
C、上叶后段硬化性血管瘤
D、胸膜局限型包裹积液
E、右后胸壁转移瘤
F、胸壁神经源性肿瘤
G、胸膜局限型间皮瘤
关注下方微信公众号,搜题查看答案

热门试题
- 患者,男,50岁。右肺尖发现异常肿块样影
- 关于肺动脉栓塞的CT表现,下列哪项最具有
- 青少年患者,呼吸短促,最可能的诊断是
- 肺动脉栓塞的栓子来源可能是( )A、
- 关于肺吸虫病,下列描述错误的是 (
- 关于肺结核的X线表现,错误的是 (
- 对右肺的描述如图,正确的是 (
- 下列支原体肺炎的描述,错误的是 (
- 肺上沟瘤侵犯臂丛神经可出现的症状为
- 关于肺泡蛋白沉着症的有关叙述中错误的是
- 女,9岁, 呼吸困难半月余,结合图像,
- 以下有关纵隔淋巴瘤的描述中错误的是A、常
- 当血流动力学的变化是左向右分流时,下列哪
- 结缔组织疾病的共同特点为 (
- X线表现为粗大树枝样阴影,尖端指向肺门,
- 观察肋骨骨折的胸片应为A、标准正位胸片B
- 下列结缔组织病中,哪些可出现胸膜增厚、胸
- 以下疾病中,哪一种情况多没有纵隔增宽A、
- 主肺动脉及左、右肺动脉层面,正确的CT表
- 急性粟粒型肺结核X线可见 ( )