试题详情
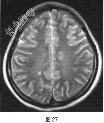
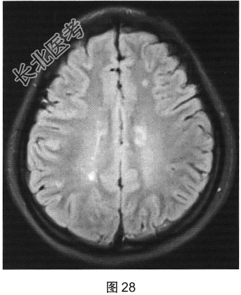
- [材料题] 患者女性,20岁,肢体无力2个月余。MRI检查结果如图27~图30所示。



- 多项选择题1.根据患者MRI平扫和增强的表现,其可能的诊断是( )
A、淋巴瘤
B、多发脑缺血
C、脑炎
D、视神经脊髓炎
E、转移瘤
F、多发性硬化
关注下方微信公众号,搜题查看答案

- 多项选择题2.患者的下一步治疗包括( )
A、无需特殊治疗
B、补液
C、免疫抑制剂及激素
D、抗感染
E、抗血栓
F、降颅压
关注下方微信公众号,搜题查看答案

- 多项选择题3.关于MS与ADEM的区别,正确的是( )
A、是否有病毒感染病史
B、MS呈多时相
C、ADEM不累及灰质
D、两者均可能与病毒或自身免疫介导有关
E、ADEM复发常见
F、两者均对称分布
关注下方微信公众号,搜题查看答案

- 多项选择题4.关于多发性硬化的诊断,叙述正确的是( )
A、“直角脱髓鞘征”是其较特征性的表现
B、脑内多发脱髓鞘病变
C、脊髓病灶多累及脊髓外周
D、病程呈复发.缓解交替
E、脊髓病灶多位于颈胸段脊髓
F、水肿及占位效应明显
关注下方微信公众号,搜题查看答案

热门试题
- 女,52岁, 头痛伴呕吐2周,根据所提供
- 关于脑转移瘤,下列说法正确的是A、肿瘤在
- 脑血管造影侧位片上大脑前动脉发出A、眶额
- 男,4岁, 右侧颜面部有紫红色瘤,智力障
- 男,46岁, 头痛5年。CT示左外侧裂旁
- “环行强化”是下列哪种肿瘤的强化特征
- 男,13岁, 头痛,呕吐1月余, MRI
- 下述肿瘤中常出现散在钙化的是 (
- 诊断动静脉畸形(AVM)最可靠的方法是A
- 星形细胞瘤分四级,下列不属于Ⅰ型星形细胞
- 一患者突发抽搐跌倒,口吐白沫,数分钟后自
- 男,5岁, 头痛,结合图像, 最可能的诊
- 原发性脊髓栓系综合征表现为 (
- 在MRI上,颅脑肿瘤中表现为"盐和胡椒"
- 关于脑脓肿的描述,错误的是 (
- 女,47岁, 左侧面部麻木2个月余,伴阵
- 颅脑外伤时,颅缝宽度超过以下数值,其意义
- 海绵状脑病(CJD)的分型不包括(
- 鼻咽癌病人CT显示咽旁间隙向哪个方向移位
- 男,25岁,CT示双侧听神经鞘瘤,应考虑