试题详情
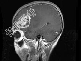
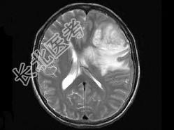
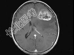
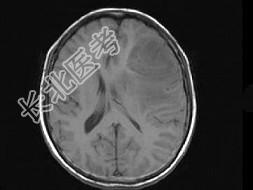
- 单项选择题女,52岁, 头痛伴呕吐2周,根据所提供图像, 最可能的诊断是 ( )

A、转移瘤
B、星形细胞瘤Ⅱ级
C、星形细胞瘤Ⅰ级
D、少枝胶质细胞瘤
E、脑脓肿
关注下方微信公众号,搜题查看答案

热门试题
- 血脑屏障破坏所致的脑水肿,哪项正确
- 颞叶底部血肿,出血动脉是 ( )
- 女,34岁, 颈痛半年,结合MRI检查,
- MRI检查脑血肿出现“靶征”是A、一周内
- 关于海绵状血管瘤和脑膜瘤的鉴别点,下列说
- 女,29岁, 发作性头痛8月加重5周,1
- 后颅窝占位病变可引起下列哪种 (
- 女,65岁, 两个月前牙齿松动,自行拔除
- 星形细胞瘤据其组成的细胞类型可分四型,不
- 脑(肝)豆状核变性,脑的铜沉积并发胶质增
- 关于多发性神经纤维瘤的临床表现,叙述正确
- 颅内动脉瘤栓塞常用的栓塞材料为A、真丝微
- 颅脑CT没有病理意义的钙化是 (
- 外伤性CCF现阶段最常用的栓塞材料是
- 男,23岁,视力减退3月余,左侧视乳头原
- 如图所示,图中数字1所代表的结构为 <
- 成人,头痛、发热、血象高, CT检查见脑
- 关于颅底孔裂的描述正确的是A、舌下神经管
- 关于Arnold-Chiari畸形,以下
- 男,32岁, 头痛、抽搐3年余,MRI检