试题详情
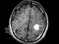
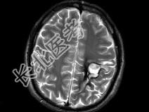
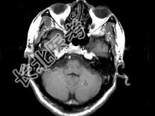
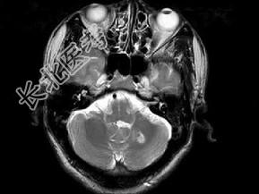
- 单项选择题男,49岁, 右侧肢体无力10余天,伴头昏行走不稳, 根据所提供图像,最可能的诊断是 ( )

A、颅内多发出血
B、颅内毛细血管扩张症
C、颅内多发静脉血管畸形
D、颅内多发动静脉畸形
E、颅内多发海绵状血管瘤
关注下方微信公众号,搜题查看答案

热门试题
- 男,35岁,剧烈头痛2天,临床拟诊为急性
- 以下疾病中,不适合于进行DSA检查的是A
- 下列疾病中,可以发生交通性脑积水的是
- TORCH综合征包括下述哪些疾病 (
- 下列哪项叙述不符合结核性脑膜炎的CT表现
- 弥漫性轴索损伤的早期诊断标准不包括(
- 病灶呈类圆形,位于鞍上,在MRI的T
- 多发性硬化的好发部位分别为A、大脑半球主
- 女,59岁, 癫痫发作伴精神异常2个月,
- 女,38岁, 有癫痫发作史,面部有皮脂腺
- 慢性硬膜下血肿与硬膜下积液(水瘤)的鉴别
- MRI上,有出血的脑转移癌常提示肿瘤来自
- 星形细胞瘤据其组成的细胞类型可分四型,不
- “脑包虫病”诊断要点,下述哪项错误
- 下列哪项不符合皮样囊肿特征性临床或CT表
- 男,33岁, 头痛、恶心、呕吐,记忆力下
- 观察乙状窦的最佳摄影位置是 (
- 不属于脑外伤后常见的合并症是 (
- 儿童小脑半球占位性病变,首先考虑 (
- 患者男性,30岁, 车祸后昏迷入院。CT