试题详情
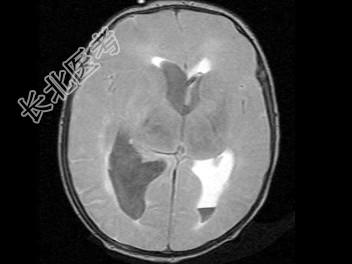
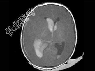
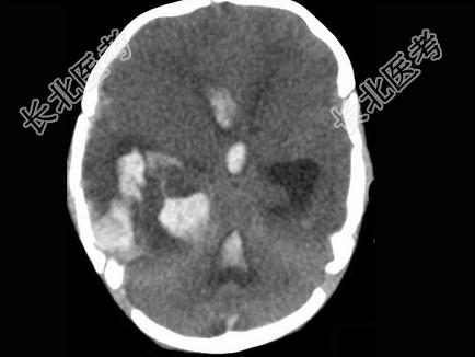
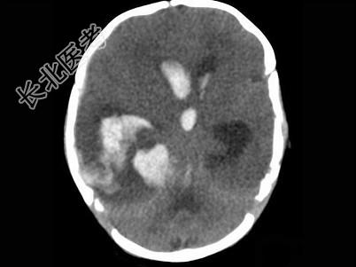
- 单项选择题男,刚满月, 突然发现不进食,昏睡, 无家族遗传病史,结合图像, 最可能的诊断是 ( )

A、脑膜炎
B、脑出血
C、脑脓肿
D、颅内动脉瘤
E、脑梗死
关注下方微信公众号,搜题查看答案

热门试题
- CT示颅底中线占位病变,斜坡及鞍背骨质破
- CT图像中肿瘤的间接征象包括A、灶周水肿
- 结节性硬化的诊断标准包括主要依据和次要依
- 获得性中耳胆脂瘤的CT特征性表现为
- 男,30岁,右面部疼痛。CT示右桥小脑角
- 如图箭头所示为大脑哪个部位 (
- 垂体瘤的CT表现,下列哪项是错误的
- 交通性脑积水的CT和MRI典型表现有
- 头颅侧位平片上,蝶鞍径线正常值为A、前后
- 女,38岁, 有癫痫发作史,面部有皮脂腺
- 垂体瘤易A、沿脑脊液种植B、出血C、侵犯
- 男,49岁, 右侧肢体无力10余天,伴头
- 患者,女, 1岁半,头颅外伤1天, 如图
- MR图像T2WI“蜂窝状”“黑蠕虫”征(
- 脑(肝)豆状核变性,脑的铜沉积并发胶质增
- 椎管内动静脉畸形栓塞所用的固体微粒直径大
- “肾上腺脑白质营养不良”CT特点,下列描
- 如图箭头所示为大脑哪个部位 (
- 1、根据MRI表现,可能的诊断是A、多发
- 关于脑肿瘤MRI信号特点的描述,哪项不对