试题详情
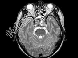
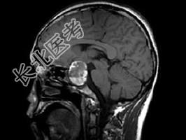
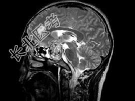
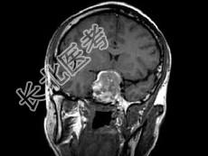
- 单项选择题男,26岁, 突发性视力障碍3天,根据所提供图像, 最可能的诊断为 ( )

A、海绵状血管瘤
B、胶质瘤并出血
C、神经鞘瘤
D、嫌色细胞瘤(垂体瘤卒中)
E、颅咽管瘤
关注下方微信公众号,搜题查看答案

热门试题
- 与鞍上池相邻的是A、前为额叶,侧为颞叶,
- 小脑的血供主要来自A、大脑中动脉B、大脑
- 星形细胞瘤分四级,属Ⅰ级星形细胞瘤的是A
- 女,34岁, 头痛数年,头颅MRI平扫及
- 哪一项不是髓母细胞瘤的CT表现A、造成梗
- 1、该患者最可能诊断为2、对于该患者首选
- 少枝胶质细胞瘤的特征性CT表现是 (
- 目前可以用基因检测确诊的疾病是( )
- 下列何种MRI检查方式可更早检出缺血性脑
- 男,7岁, 癫痫间歇性发作3个月余,面部
- 早期脑梗死的脑血管造影的主要征象为
- 关于室管膜瘤的CT描述,下列哪项是正确的
- 关于听神经鞘瘤的MRI表现,叙述不正确的
- 细胞毒性脑水肿最常见的原因是A、炎症B、
- 少突胶质细胞瘤的CT表现有A、多呈类圆形
- 关于Dandy-Walker综合征,下列
- 不符合脑结核瘤的CT表现的是 (
- 脑膜瘤来源于A、硬脑膜B、软脑膜C、蛛网
- 关于垂体脓肿影像学表现,错误的描述是(
- 椎管内血管畸形根据异常血管的形态和结构,