试题详情
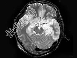
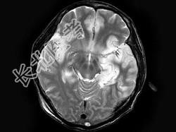
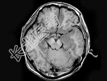
- 单项选择题男,46岁, 头痛、呕吐1周,MRI如图, 最可能的诊断是 ( )

A、脑梗死
B、病毒性脑炎
C、胶质瘤
D、化脓性脑炎
E、未见异常
关注下方微信公众号,搜题查看答案

热门试题
- 患者,男,55岁。CT示左侧小脑半球囊实
- 交通性脊髓空洞发生在A、颅颈交界处B、颈
- 在下列哪种疾病中有"球内钙化"表现的是A
- 病人眩晕,CT示左侧桥脑小脑角池内低密度
- 儿童小脑半球占位性病变,首先考虑 (
- 女,55岁, 1年前出现头痛,头昏, 症
- 海绵状脑病(CJD)的分型不包括(
- 慢性硬膜下血肿与硬膜下积液(水瘤)的鉴别
- 以下有关阿尔茨海默病(AD)的叙述,不正
- 视神经各段中最长的部分是 ( )
- “肾上腺脑白质营养不良”CT特点,下列描
- 关于皮样囊肿CT表现的描述,错误的是
- 1、临床拟诊为A、CPA区脑膜瘤B、CP
- 微小听神经鞘瘤的最佳成像序列为 (
- 对于原发性脊髓栓系综合征,叙述正确的是(
- 脑干结构不包括 ( )A、桥脑B
- 患儿,男,10岁。MRI示第四脑室内一边
- 女,10岁, 头痛,视力下降2个月, M
- 关于“胶质母细胞瘤”的描述,错误的是
- 男,31岁, 常感觉头痛,CT图像如图,