试题详情
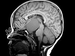
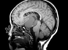
- 单项选择题女,8岁, 头痛、左侧肢体麻木十余天,根据所提供图像, 最可能的诊断是 ( )

A、表皮样囊肿
B、颅咽管瘤
C、垂体瘤
D、胶质瘤
E、蛛网膜囊肿
关注下方微信公众号,搜题查看答案

热门试题
- 颅脑CT图像出现带征提示A、脑炎B、脑梗
- 有关脑内海绵状血管瘤的描述,下列哪项不正
- 女,9岁, 颈部疼痛、活动受限2个月,M
- 下列哪种疾病,不出现局限性颅骨“竖发”表
- 下列关于髓母细胞瘤的描述,下列哪项是错误
- 观察颅底结构改变,下列哪种摄片位置最佳A
- 不符合脑结核瘤的CT表现的是 (
- 病人右侧听力下降,CT示右侧桥小脑角池增
- 以下有关营养不良性脑病病理的叙述,不正确
- 脑脓肿CT表现第三期脓肿壁形成早期是
- 如图箭头所示为大脑哪个部位 (
- 结核性脑膜脑炎常见表现不包括下列哪项
- 在MRI图像上下列哪种肿瘤看不见化学位移
- 男,15岁, 进行性头痛1年余,CT检查
- 下列“脑出血”CT特征,哪项不对 (
- 有关脊髓多发性硬化,错误的是 (
- 男,23岁,视力减退3月余,左侧视乳头原
- 椎管内血管畸形根据异常血管的形态和结构,
- 正常髓鞘的脱髓鞘疾病下列哪些正确 (
- 额叶下部血肿破裂的动脉是 ( )