试题详情
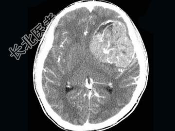
- 单项选择题男,15岁, 进行性头痛1年余,CT检查, 最可能的诊断为 ( )

A、脑膜瘤
B、脑血管畸形
C、转移瘤
D、淋巴瘤
E、胶质母细胞瘤
关注下方微信公众号,搜题查看答案

热门试题
- 关于脑肿瘤好发年龄的描述,哪项不对
- 女,32岁, 闭经泌乳半年。CT冠状扫描
- 有关脑动静脉畸形CT表现的描述,下列哪项
- 半卵圆中心是下列哪一组神经纤维组成的
- 脑梗死最常见的CT增强表现形式为A、轻度
- 关于海绵状血管瘤的说法错误的是( )
- CT示左矢状窦旁高密度结节,宽基底附着于
- 下述除哪种病变外,均有“颅缝提前闭合”表
- 关于脑膜瘤的描述,正确的是A、肿瘤可发生
- 多发性硬化的诊断要点,描述正确的是A、反
- 女,28岁, 产后突发剧烈头疼,视物模糊
- 女,30岁, 腰痛2个月,MRI检查见L
- 正中孔梗阻引起扩张的脑室是 (
- 关于胶质瘤,叙述错误的是( )A、W
- 患者,男性, 21岁,CT示颅后窝中线区
- 1、该患者的诊断是( )。A、脑出血
- 关于脑外肿瘤的MRI定位诊断,下列哪项不
- 好发于桥小脑角区的肿瘤是( )。A、
- 1、临床拟诊为A、CPA区脑膜瘤B、CP
- 脑室内占位病变较为特征的CT表现为