试题详情
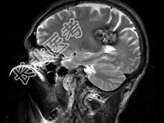
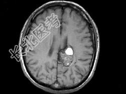
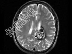
- 单项选择题男,59岁, 反复头晕头痛半年余,重体力活时头痛明显, 根据所提供图像,最可能的诊断是 ( )

A、(左顶)海绵状血管瘤
B、(左顶)室管膜瘤
C、(左侧脑室)胶质瘤
D、(左侧脑室)脉络膜乳头状瘤
E、(左顶)动静脉血管畸形
关注下方微信公众号,搜题查看答案

热门试题
- 关于烟雾病,下列正确的是A、反复发作、单
- 下列哪项不属于脑脓肿与肿瘤中心坏死的鉴别
- 以下哪项关于脑皮质梗死的描述是错误的A、
- Sturge-Weber综合征脑实质钙化
- 1、该患者拟行颅脑MRI检查,应扫描的序
- 关于脑皮质发育异常,下列哪项不包括在内
- 脑脓肿壁形成早期,CT表现为正确的是(
- 下列哪一项不属于脑颅骨 ( )A
- 下列对肝豆状核变性的描述,哪项不对
- 脑室系统不包括 ( )A、中脑导
- 男,3岁,间歇性头痛13天伴呕吐、低热,
- 一患者突发抽搐跌倒,口吐白沫,数分钟后自
- 颅内动静脉畸形CT平扫,一般可为高、等、
- 1、最可能的诊断为2、关于该病的描述,错
- MR图像T2WI“蜂窝状”“黑蠕虫”征(
- 头颅侧位平片上,蝶鞍径线正常值为A、前后
- 不属于脑外伤后常见的合并症是 (
- 静脉窦血栓形成的诱因不包括A、血管畸形B
- 男,22岁, 耳后见一直径约2cm黑痣,
- 外伤性CCF是指 ( )A、颈