试题详情
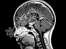
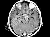
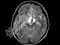
- 单项选择题女,18岁, 发育不良伴口渴,多饮、多尿10余年, 根据所提供图像,最可能的诊断是 ( )

A、胆脂瘤
B、胶质增生
C、颅咽管瘤
D、胶质瘤
E、垂体瘤
关注下方微信公众号,搜题查看答案

热门试题
- 下列哪一项不属于脑颅骨 ( )A
- 1、本病例最有可能诊断为( )。A、
- 腔隙性脑梗死的大小一般是 ( )
- 侧脑室三角区对应的脑叶是A、额颞顶叶交界
- 女,27岁, 头昏、行走不稳1个月,PE
- 1、依据患者病史主要考虑的癫痫类型为(
- 脑外伤性脑内血肿描述,下列哪项是错误的A
- 关于胆脂瘤的特征性CT表现,下列哪项说法
- 关于垂体腺瘤的描述不正确的是( )。
- 常规CT在中枢神经系统的应用包括A、颅内
- 中枢神经系统结节性硬化包括 (
- 1、根据患者MRI T1WI和T2WI图
- 早期脑梗死的脑血管造影的主要征象为
- 女,47岁, 左眼球突出伴视力下降半年,
- 急性颅内损伤宜选择A、颅骨平片B、脑室造
- 诊断脑外伤性“颅缝分离”,是指颅缝宽度超
- 星形细胞瘤的CT表现为 ( )A
- 男,31岁, 头痛1年余,头颅MRI检查
- 顺磁性铁在深部灰质核团的沉积与患者年龄有
- 关于脑肿瘤MRI信号特点的描述,哪项不对