试题详情
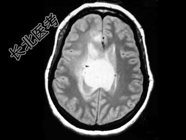
- 单项选择题女,31岁, 癫痫发作,头痛, 头晕,结合图像, 最可能的诊断是 ( )

A、脑膜瘤
B、脑囊肿
C、星形细胞瘤
D、脑膜炎
E、室管膜瘤
关注下方微信公众号,搜题查看答案

热门试题
- 下列关于基线描述错误的是 ( )
- 发生在桥小脑角区肿瘤中岩骨有明显骨质增生
- 女,16岁, 四肢活动不利半年,走路不稳
- 女,38岁, 有癫痫发作史,面部有皮脂腺
- 对鉴别蛛网膜囊肿与表皮样囊肿有帮助的是A
- 关于多发性硬化的描述错误的是 (
- 小脑血管母细胞瘤和囊性星形细胞瘤的CT鉴
- 男,65岁, 右侧肢体力弱,CT示左额顶
- 1、患者最可能诊断为2、该患者囊内CT呈
- 1、本病例最有可能诊断为( )。A、
- 女,33岁, 3个月前有右上肢及右颜面部
- 男,癫痫病史2年, 近两个月出现头痛、恶
- 神经纤维瘤MRI信号多表现为 (
- 弥漫性轴索损伤最常见的损伤部位是(
- 1、你应该做何种检查A、CTB、MRIC
- 男,32岁, 头痛、抽搐3年余,MRI检
- 脑脓肿壁的T2低信号最可能是( )A
- 在CT征象上与血管网状细胞瘤表现最相似的
- 脑外肿瘤向内压迫脑皮质,使之受压变平的现
- 脊柱CT的特殊扫描方法是( )。A、