试题详情
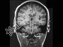
- 单项选择题男,32岁, 头痛、抽搐3年余,MRI检查如图, 最可能的诊断是 ( )

A、先天发育不全
B、灰质异位
C、正常颅脑
D、片状脑梗死
E、脑水肿
关注下方微信公众号,搜题查看答案

热门试题
- 对于眼及眼眶部位的疾病,CT扫描的适应证
- 关于透明隔腔下列哪项描述不对 (
- 女,37岁, 因车祸胫骨骨折十余天,突发
- 毛发细胞型星形细胞仅见于哪级星形细胞瘤
- X线平片上,松果体生理性钙化其直径不应超
- 脑外伤性脑内血肿描述,下列哪项是错误的A
- 女,6岁, 头痛、呕吐1个月,行MRI检
- 女,42岁, 颈项部活动不利数月,上肢肌
- 儿童小脑半球占位性病变,首先考虑 (
- 室管膜下巨细胞星形细胞瘤发生在 (
- 患者头痛3年。CT示右小脑桥脑角有一3c
- 前交通动脉瘤破裂所致的蛛网膜下腔出血常见
- 1、根据MRI表现,可能的诊断是(
- “脑包虫病”诊断要点,下述哪项错误
- 颅咽管瘤的X线表现是A、鞍背骨质破坏B、
- CT图像中肿瘤的间接征象包括A、灶周水肿
- 男孩,1岁。有头皮损伤史, CT检查,最
- 关于第三脑室的描述,以下哪项不正确
- 癫痫发作2次,CT平扫示侧脑室旁多发低密
- 10岁以下儿童最常见的颅内恶性肿瘤是